МИНИМАЛНО ИНВАЗИВЕН ПОДХОД

В DB Clinic се стремим да запазим максимално естествената структура на зъба,
което води до по-малък дискомфорт за пациента и по-бързо възстановяване. Нашите
съвременни техники постигат впечатляващи естетични резултати, като същевременно
съхраняват здравето и целостта на вашите естествени зъби.



ЦЕЛЕНАСОЧЕНО ПЛАНИРАНЕ НА ЛЕЧЕНИЕТО

В DB Clinic постигаме впечатляващи – и често
животопроменящи – резултати чрез минимално инвазивни лечебни планове.
Нашият екип, съставен от доказани професионалисти в областта на денталната естетика
и имплантология, усъвършенства изкуството на усмивката, съчетавайки традиционно
зъботехническо майсторство с най-модерни технологии
.
__________________________________________________________________________________
„Малко хора гледат на стоматологията така, както
ние в DB Clinic. Ние възприемаме нуждите на всеки пациент като уникален случай
и подхождаме с уважение и дълбока съвместност. Заедно създаваме нещо
емоционално – нещо, което озарява лицата и променя живота на нашите пациенти.“
— Д-р Дилян Бъчваров

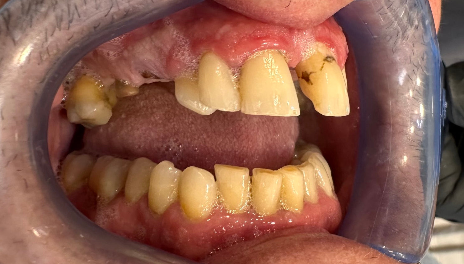
ПРЕДИ/СЛЕД

ПРЕОБРАЗИ УСМИВКАТА СИ В DB CLINIC

Крайният резултат е не просто комплект порцеланови фасети – това е
трансформация, която ви прави по-щастливи, по-здрави и по-уверени. Ако сте
готови да направите първата крачка, запишете час за консултация в най-удобната
за вас локация на DB Clinic – в Благоевград или Симитли.