Изживейте ново усещане за усмивка в Дентална клиника Бъчваров
Където традиционното майсторство среща най-съвременните технологии, за да Ви предложи възстановителна стоматология с естествени резултати и дълготрайни ползи.

Стоматологията е изкуство – Дентална клиника Бъчваров
С индивидуален подход към дизайна на усмивката, който съчетава дигитални и традиционни техники, резултатът е не просто промяна – това е трансформация.

Непревъзходимо качество
Екипът на Дентална клиника Бъчваров обединява водещи специалисти, посветени на съвършенството във всяка усмивка.

Уникално и неповторимо
Дентална клиника Бъчваров проправя нов път в естетичната стоматология, създавайки най-желаните усмивки и предоставяйки най-висок стандарт на грижа.
Силата на съвършената усмивка
В Дентална клиника Бъчваров съчетаваме иновации, професионализъм и внимание към детайла, за да превърнем Вашата усмивка в източник на увереност и красота.
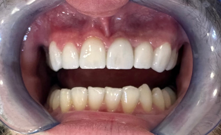
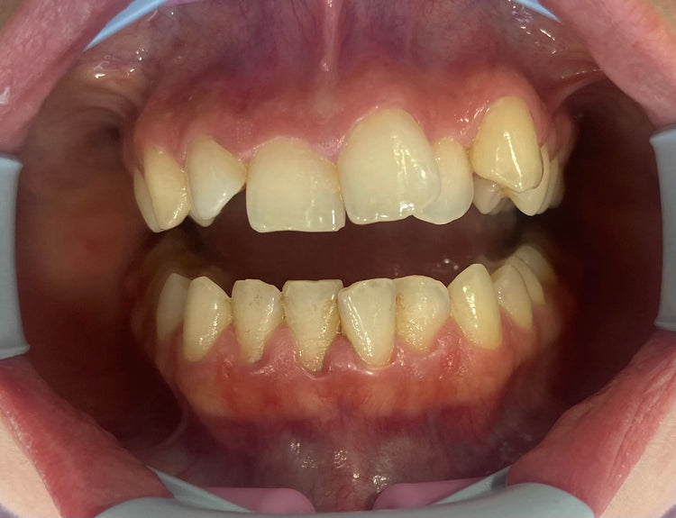
Преди


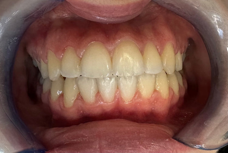
След


Before

After

Before

After

Before

After
